關於我們
醫師團隊
醫療項目
口腔外科
全口重建
兒童牙科
前牙美學
假牙贋復
微創植牙
隱形矯正
顯微根管
案例分享
衛教專區
最新消息
設備環境
聯絡我們
關於我們
醫師團隊
醫療項目
+
–
口腔外科
全口重建
兒童牙科
前牙美學
假牙贋復
微創植牙
隱形矯正
顯微根管
案例分享
衛教專區
最新消息
設備環境
聯絡我們
案例分享
首頁
/
案例分享
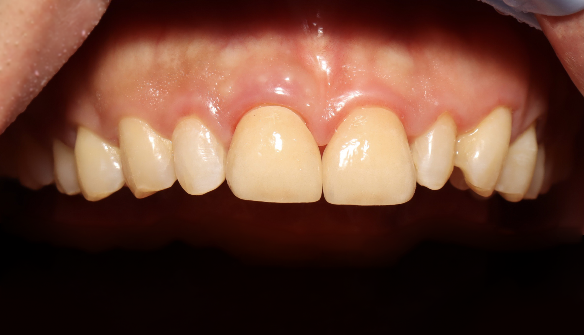
前牙貼片-門牙關縫 郭子睿醫師
前牙貼片-門牙關縫
READ MORE
植牙合併上顎竇增高 郭子睿醫師
植牙合併上顎竇增高
READ MORE
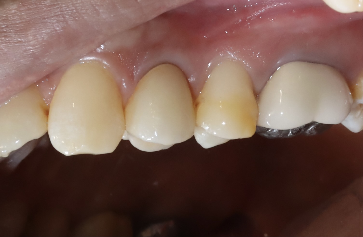
陶瓷嵌體 郭子睿醫師
READ MORE
植牙案例 張哲維醫師
READ MORE
後牙全鋯冠 郭子睿醫師
READ MORE
植牙案例 李俊諺醫師
READ MORE
矯正案例 李俊諺醫師
READ MORE
植牙案例 李俊諺醫師
READ MORE
陶瓷嵌體 許庭耀醫師
READ MORE
陶瓷嵌體 許庭耀醫師
READ MORE
假牙案例 張哲維醫師
READ MORE
關閉