關於我們
醫師團隊
醫療項目
口腔外科
全口重建
兒童牙科
前牙美學
假牙贋復
微創植牙
隱形矯正
顯微根管
案例分享
衛教專區
最新消息
設備環境
聯絡我們
關於我們
醫師團隊
醫療項目
+
–
口腔外科
全口重建
兒童牙科
前牙美學
假牙贋復
微創植牙
隱形矯正
顯微根管
案例分享
衛教專區
最新消息
設備環境
聯絡我們
植牙合併上顎竇增高 郭子睿醫師
首頁
/
案例分享
/
植牙合併上顎竇增高 郭子睿醫師
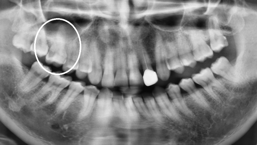
術前X光片
上顎竇增高 前後比較
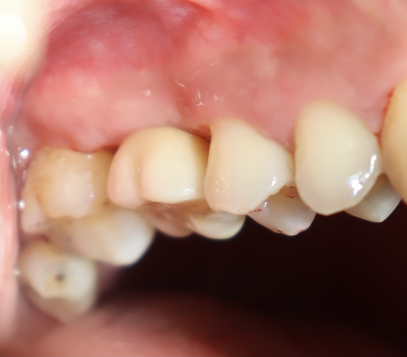
術後照片
術後電腦斷層
分享到
關閉