關於我們
醫師團隊
醫療項目
口腔外科
全口重建
兒童牙科
前牙美學
假牙贋復
微創植牙
隱形矯正
顯微根管
案例分享
衛教專區
最新消息
設備環境
聯絡我們
關於我們
醫師團隊
醫療項目
+
–
口腔外科
全口重建
兒童牙科
前牙美學
假牙贋復
微創植牙
隱形矯正
顯微根管
案例分享
衛教專區
最新消息
設備環境
聯絡我們
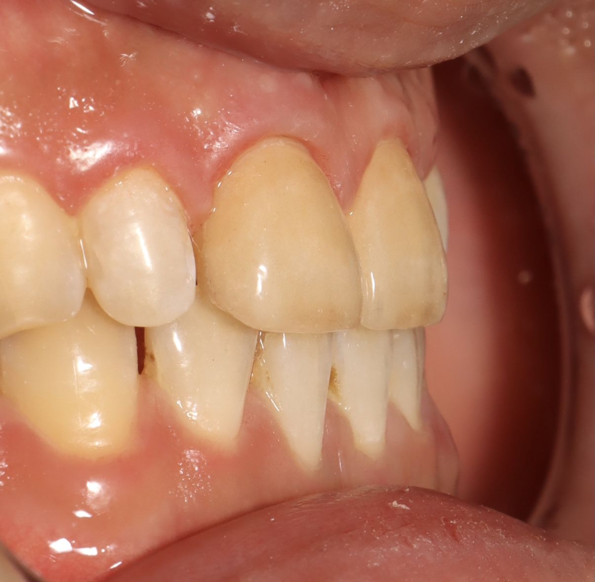
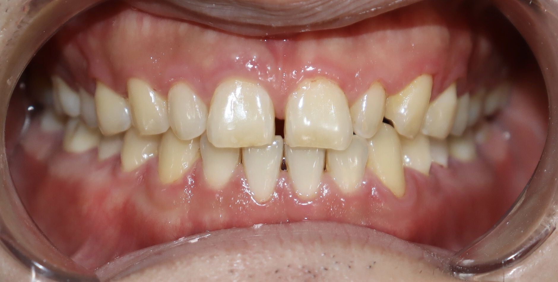
前牙貼片-門牙關縫 郭子睿醫師
首頁
/
案例分享
/
前牙貼片-門牙關縫 郭子睿醫師
術前照片
術後照片
美學樹脂DSD&比色照片
術中照片
<img alt="" src="/storage/system/case/CASE-31-3.JPG" />
分享到
關閉