關於我們
醫師團隊
醫療項目
口腔外科
全口重建
兒童牙科
前牙美學
假牙贋復
微創植牙
隱形矯正
顯微根管
案例分享
衛教專區
最新消息
設備環境
聯絡我們
關於我們
醫師團隊
醫療項目
+
–
口腔外科
全口重建
兒童牙科
前牙美學
假牙贋復
微創植牙
隱形矯正
顯微根管
案例分享
衛教專區
最新消息
設備環境
聯絡我們
陶瓷嵌體 郭子睿醫師
首頁
/
案例分享
/
陶瓷嵌體 郭子睿醫師
術後照片
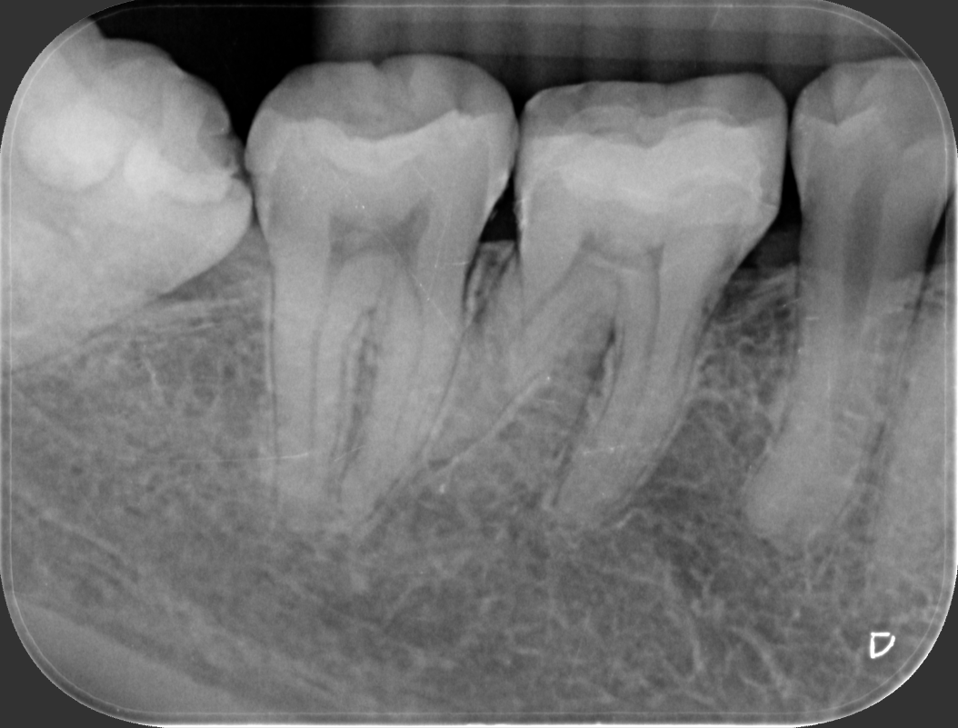
術後X光片
術中照片
分享到
關閉